審美歯科治療

2009年11月にドイツsirona社のcerec3を導入しました。
それはナニモノかと言うと、セラミックのブロックから修復物をCAD/CAMで削り出して作れてしまう機械です。
むし歯や金属の詰め物を外して、被せる様に削った歯を専用のカメラ(スキャナー)で撮影して、スキャンしたデータを基に3D画像をでコンピュータ上で作製し、詰めるモノを設計します。 そのデータをLAN接続した削り出しの機械(ミリングマシン)へ送れば、設計通りのセラミック修復物があっさりとできてしまいます。
時間で言えば歯を形成するのに30分、データを作るのに30分、削り出しが5〜15分、研磨が手作業で20分ですから、うまくすれば2時間以内にセットまで終わってしまいます。 今は確実にモノにするために通常通り歯型を採って、石膏模型にしたものをスキャンしていますが、近いうちには直接口腔内でスキャンしようと考えています。
ですので、技工士さんへ依頼する必要がなくなり、そこでのエラーも無くなります。 同時に技工料金がない(機械の導入費が!!ちょっとお高い)ので、その分を安く提供できます。さらに、上のような理由で早い!
セラミックインレーは技工所への外注の場合で7万円、cerecの場合は3万円です。 セラミッククラウンは同じく外注で8〜10万円、cerecの場合は5万円です。
CEREC症例
CERECはプラスチックを混ぜたいわゆる「ハイブリッドセラミック」とは違います。純粋にセラミックだけの塊をCAD/CAMによって削り出した「オールセラミック」です。
耐摩耗性、耐変色、高強度、優れた色調、無アレルギーなど優れた点がたくさんあります。
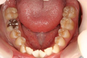
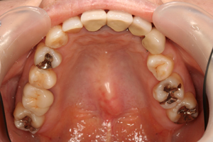
■口の中の金属を白くする症例
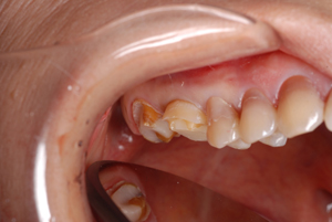
初診時

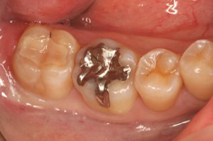
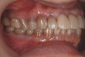
セット後

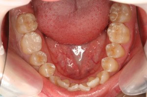
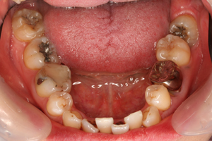
初診時
![]() |
![]() |
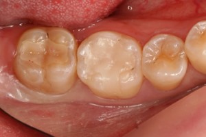
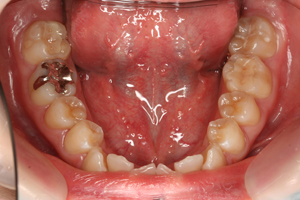
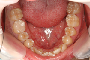
セット後
![]() |
![]() |
初診時(口を開いた状態)![]() |
セット後![]() |
これで健康的な口元になり、大きく口を開けて笑った写真も気になりません。
CEREC症例2
患者様の症例をいくつか掲載します。ご参考ください。
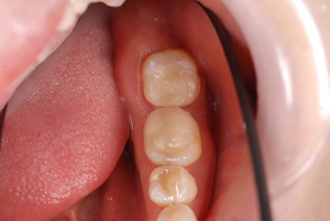
セット前![]() |
セット後![]() |
セット前![]() |
セット後![]() |
セット前![]() |
セット後![]() |
セット前![]() |
セット後![]() |
セット前![]() |
セット後![]() |
セット前![]() |
セット後![]() |


















